If you are searching about greenford dentist review | dentael you've visit to the right place. We have 9 Pics about greenford dentist review | dentael like dentael map zoom | dentael, Dentist Greenford, Ealing Dentist & beyond - Harrow, Hounslow and also Dentist Greenford, Ealing Dentist & beyond - Harrow, Hounslow. Read more:
Greenford Dentist Review | Dentael
dentael.com greenford dentist
Dentist Greenford, Ealing Dentist & Beyond - Harrow, Hounslow
dentael.com greenford dentist bus stops ealing fees appointments nearest routes e5 e1 e3 e2
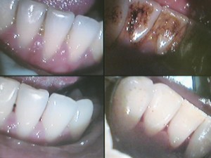
Facts About Gum Disease | Dentael
dentael.com Teeth Whitening Dentist Dentael Near Ruislip | Dentael
dentael.com dentist ruislip
Dentael Map Zoom | Dentael
dentael.com Bad Breath Dentist Near Me In Greenford | Dentael
dentael.com Repair Chipped Fron Tooth Dentist | Dentael
dentael.com fron chipped
Teeth Cleaning Ealing | Dentael
dentael.com teeth cleaning ealing previous
Dentael Map | Dentael
dentael.com Teeth whitening dentist dentael near ruislip. Teeth cleaning ealing previous. Repair chipped fron tooth dentist


